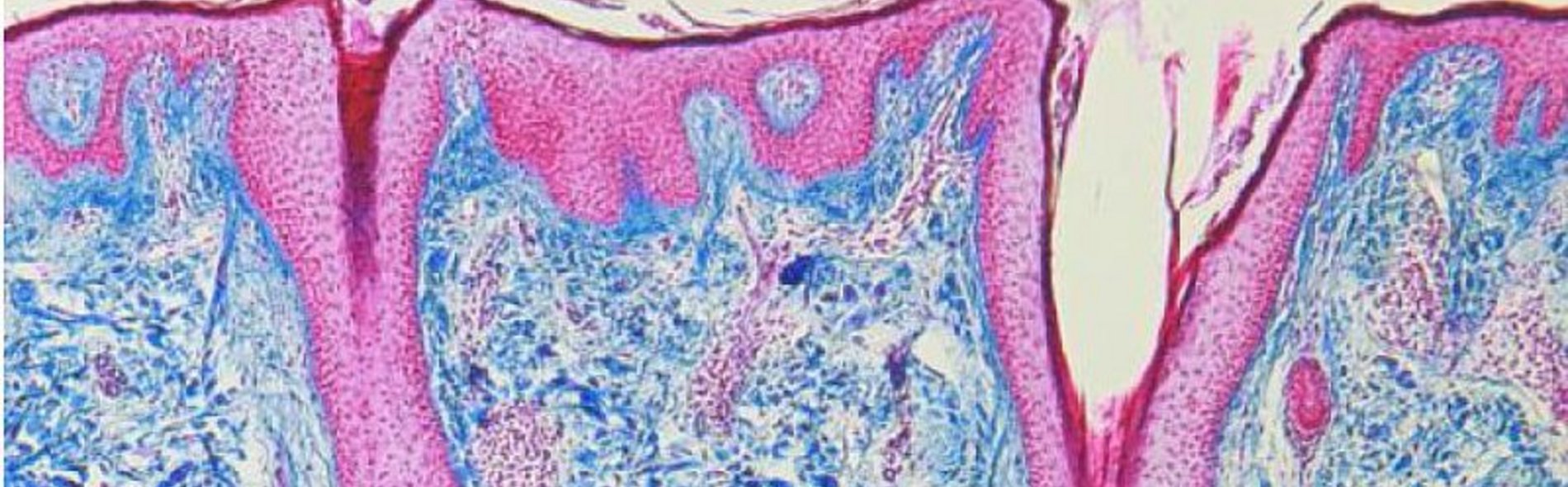
Pathologie ist die "Lehre der Krankheiten" - also einem Gebiet der Medizin, das sich fachübergreifend mit der Erkennung krankhafter Veränderungen befasst und somit im Dienst der lebenden Patienten steht - d.h. am Anfang einer Behandlung und nicht am Ende des Lebens. Über 98 Prozent der ärztlichen Tätigkeit des Pathologen betreffen die Diagnostik an Zellen und Geweben lebender Patienten.
Der Pathologe untersucht Aufbau und Funktion von Organen, Geweben und Zellen um Krankheitsursachen (Ätiologie) und Entstehungsmechanismen (Pathogenese) zu verstehen und den weiteren Krankheitsverlauf, mögliche Therapieansätze und die Prognose zu ermitteln. Die am MVZ Institut Pathologie Offenbach untersuchten Proben sind vielfältig und umfassen große Operationspräparate ganzer Organe oder Organteile sowie winzige Gewebeproben (Biopsien) oder Zellausstriche (Zytologie). Nach Aufarbeitung der Gewebe in den Laboren wird der mikroskopische (feingewebliche) Befund durch den Pathologen erstellt und dient als Grundlage der Therapieplanung für den behandelnden klinischen Kollegen.
Die Ergebnisse seiner mikroskopischen Untersuchungen sind elementare Bestandteile der klinischen Diagnostik und Therapieplanung: jede Karzinomdiagnose wird durch einen Pathologen gestellt. Die Beurteilungen von Vorsorgeuntersuchungen wie gynäkologische Abstriche, Mammographiescreening- oder Koloskopiebiopsien erfolgen durch den Pathologen. Zudem nimmt die Pathologie einen hohen Stellenwert in der Qualitätssicherung im Gesundheitswesen ein.
Im Gegensatz zur Diagnostik für den lebenden Menschen machen die Autopsien einen deutlich geringeren Teil der Arbeit des Pathologen aus, dennoch sind sie ein unverzichtbarer Bestandteil der qualitätsgesicherten Medizin. Mit der Obduktion werden Grund – und Folgeerkrankungen sowie medizinisch unklare Todesursachen festgestellt. Zusätzlich können auch diagnostische und therapeutische Verfahren überprüft, genetische Zusammenhänge gefunden oder die Anerkennung einer Berufserkrankung ermöglicht werden.

